郭方圆整容前后二(1/25)
@组图:中国恐龙女上韩国整容节目变芭比娃娃
注明单屏/滚屏的一般为手机壁纸,横竖屏可翻转。尺寸可通用(无论是PC、手机还是平板电脑,无论系统是 winXP/win7/win8/ipad/安卓/linux/mac os)。普屏(4:3)宽屏(16:9 或 16:10 等)可以使用等比例图片由系统缩放。如果没有您需要的尺寸,请 QQ联系 我们。
1/25
2/25
3/25
4/25
5/25
6/25
7/25
8/25
9/25
10/25
11/25
12/25
13/25
14/25
15/25
16/25
17/25
18/25
19/25
20/25
21/25
22/25
23/25
24/25
25/25
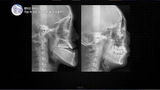
中国少女郭方圆因下颌出奇长常常被嘲笑,还被戏称“外星人”,日前通过韩国整容节目重拾美丽,变成让人既羡慕惊讶的芭比娃娃。视频:中国恐龙女韩国整容变芭比(2013-09-06 / sina)
- ·组图:章子怡郑恺登“快本” 粉红变装非常搞怪
- ·组图:米娅红裙亮相《唯爱永生》首映 抖森献抱
- ·高清图:《跑男》偶像总动员 刘在石性感起舞
- ·组图:多伦多电影节《第五等级》首映 卷福亮相
- ·组图:SuperJunior等偶像赴土耳其开
- ·组图:《阿黛尔》开发布会 赛迪克斯秀性感红唇
- ·组图:何洁赫子铭12日北京大婚 婚礼请帖曝光
- ·组图:《僵尸》威尼斯首映 麦浚龙感激评审赞赏
- ·独家高清:《期待恋爱》发布 宝儿红裙清纯可爱
- ·组图:吴千语力护林峰 称男友选港姐公平公正
- ·策划:宫崎骏作品回顾--重游奇妙的动画世界
- ·组图:傅迦最新写真鬼马顽童“萌”气十足
- ·组图:韩星Clara出席活动 全黑装扮难掩性
- ·组图:郭家铭初秋时尚街拍 率性自然温暖笑容
- ·组图:克莱恩现身TBC周年庆 助阵多伦多电影
- ·组图:南相美等为品牌站台 金正敏露腰秀性感
- ·组图:《大环形路》首映 导演红毯获女儿献吻
- ·组图:《嫉妒》举行首映 女星紧身裙秀曲线
